
Veterina Skřivánek
SNP 2389/4, Ústí nad Labem-centrum
Zavřeno · otevírá dnes v 8:30
Veterinární ordinace pro malá zvířata.
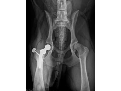
Provádíme operace páteře a hrudníku, wobbler, SLOT, totální endoprotézy, prasklé kolenní vazy, LCC, TPLO, TTA, dysplasie, TPO, trojité osteotomie pánve, JPS, diagnostiku kulhání, kožní onemocnění, perineální kýly, osteosyntézy, OCD. K dispozici máme vybavení jako RTG, USG, krevní analyzátory, atp.
Firma neměla delší dobu aktualizaci.
Zdá se vám nějaký údaj chybný nebo byste rádi něco doplnili?





Co přihlášením získáte?



